Glavni meni
Baza firmi
Magazin
Video
Radio stanice
TV Program
TV Uživo
Kursna lista
Vremenska prognoza
Horoskop
Sanovnik
Pomoć i kontakt
Bazu firmi
Bazu firmi
Magazin
Video
Radio stanice
Sanovnik
Vremenska prognoza
TV Program
Dodaj firmu
Ulogujte se
Registruj se
Zubni implanti Beograd
Stomatološka ordinacija Vuković
Stomatološka ordinacija Vuković
5.0 | 6 ocena
Član 5 godina
O nama
Usluge
Hijaluronski fileri
Navlake - krunice za zube
Povecanje usana
Zubni implanti
Slike
Kontakt
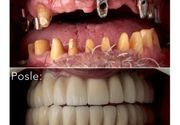
Metalo-keramicka krune na implantima
0
Your browser does not support the audio element.
Preslušaj tekst
-
Pozovi
Metalo-keramicka krune na implantima
Kategorija:
Stomatološke ordinacije Beograd
Podkategorija:
Zubni implanti Beograd
Objavljeno:
11.08.2025.
# ID Oglasa:
114137
Firma:
Stomatološka ordinacija Vuković
Website:
www.ordinacijavukovic.rs
Triše Kaclerovića 10
Voždovac
Beograd
011/
www.ordinacijavukovic.rs
Idi na vrh strane